Si avvicina il Natale, un momento per stare accanto ai propri cari e per ricaricare le batterie dallo stress di tutti i giorni.
Nonostante ciò, non riesci a vivere questo momento in completa tranquillità perché sai di avere dei problemi ai denti che potrebbero scatenarsi proprio durante le vacanze natalizie!!!
In questo articolo ti spieghiamo perché è necessario per noi della DM Clinic fare un check-up completo prima delle vacanze di Natale (proprio quando molti studi dentistici saranno chiusi) per vivere delle vacanze serene e festose.
Ma i problemi ai denti e alle gengive danno sempre dolore?
Vi sorprenderà, ma la risposta a questa domanda è: NO!
Nonostante chiunque di noi abbia avuto dolore ad un dente se lo ricordi come un dolore fortissimo e quasi insopportabile la realtà è che questa risulta essere in verità una eccezione!
Infatti, i problemi dentali come la carie, i granulomi, la parodontite o le fratture dentali vanno avanti per settimane, mesi e a volte anni prima di manifestarsi con qualche sintomatologia come ad esempio il DOLORE!
Questo fa si che a volte i problemi dentistici progrediscano nel tempo, aumentando l’entità del problema sul dente ma anche delle spese per poter fare fronte a questo danno!
Il DOLORE è quindi quasi sempre un segno molto tardivo dei problemi ai denti, per questo ogni minimo fastidio andrebbe valutato con cura e attenzione!

Ascesso Dentale
Ti riconosci in qualcuna delle seguenti situazioni?
Hai un dente a cui è saltata una vecchia otturazione? O un molare devitalizzato da tanto tempo che ha perso un pezzo di dente?
Hai uno o più denti che si muovono?
Hai una vecchia capsula che continua a staccarsi?
Ogni tanto hai una strana sensibilità al caldo o al freddo o avverti un leggero fastidio mentre mastichi?
Sai di avere un granuloma o delle infezioni che finora hai trascurato?
Ogni tanto i denti del giudizio ti fanno male?
Cosa devi sapere per vivere delle vacanze serene
Tutte queste situazioni sopra descritte possono essere fonte di problematiche che possono scatenarsi da un momento all’altro e creare problemi, dolore o imbarazzo durante le feste.

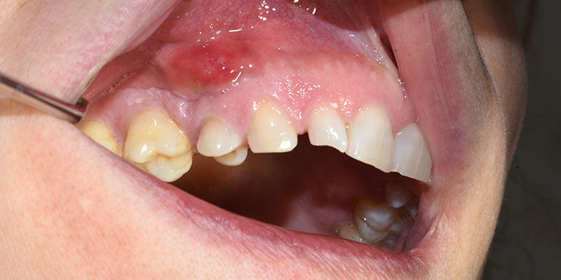
Esempio di dente devitalizzato fratturato
Cosa è opportuno fare?
Prenota subito il tuo appuntamento alla DM Clinic per eseguire la tua Prima Vista approfondita.
In questo articolo ti raccontiamo come viene eseguita la Prima Visita alla DM Clinic.
Presso DM Clinic a Capoterra faremo una visita completa dove valuteremo tutto il piano di cura ma soprattutto andremo ad individuare tutti i trattamenti urgenti da affrontare prima delle fatidiche vacanze di Natale.
Prenota subito la tua visita alla DM Clinic, regalati la serenità di cui hai bisogno per le tue vacanze di Natale
Buone Feste da tutto il Team
